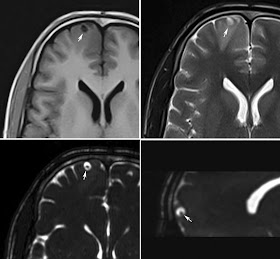
MRI Brain of 26 year old male presented with seizures, T1 image showing well defined small hypointense lesion in the right frontal cortical region, which is showing hyperintense on T2 image. CISS 3D - heavily weighted T2 images (bottom row) showing fluid intensity lesion with small hypointense focus. The findings are consistent with neurocysticercosis.

No comments:
Post a Comment